Prager Frühling, Magazin für Freiheit und Sozialismus (www.prager-fruehling-magazin.de)
Redaktionsblog

„Mit dem zweiten tippt es sich schlechter“

Beitrag von Redaktion, geschrieben am 09.11.2010
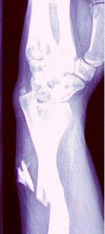
So ungefähr sieht's in unserem Redakteur Laszlo Strzoda aus.

pf: Du warst am vergangenen Wochenende im Wendland, um gegen den Castor zu demonstrieren. Als pf-Redakteur hätten wir eigentlich einen ausführlichen Bericht von Dir erwartet.

Den hätte ich Euch auch gern geschickt. Leider wurde mir bei einem Polizeieinsatz der Arm zweimal gebrochen. Und Überraschung: Mit dem zweiten tippt es sich schlechter. Außerdem habe ich dann im Krankenhaus erst einmal Morphium gegen die Schmerzen bekommen. Drogenliberalisierung finde ich politisch ja gut, aber bei mir hat das erst mal die Pforten der Wahrnehmung geschlossen. … ich bin eben nicht Aldous Huxley.

pf: Die meisten Polizeibeamten kommen doch auch ganz gut mit Zwei-Finger-Such-System aus. Da wärst Du mit der "5-Finger-Taktik" doch haushoch überlegen … Im Ernst, was ist passiert?

Wir waren am Sonntag gegen 12 Uhr in einem Waldstück nahe des Tangsehl-Hofs. Der liegt zwischen Lüneburg und Hitzacker. In der Gegend standen zu diesem Zeitpunkt zwischen 3.000 und 4.000 Demonstrierende der Polizei gegenüber. Das Vorgehen der Einsatzkräfte war extrem. Die Polizei hat massiv Tränengas, Schlagstöcke und Polizeipferde eingesetzt. Ich war zunächst mit meiner Bezugsgruppe in der Nähe der Gleise. Dann wurde ich von meinen Begleiterinnen und Begleitern getrennt. Ich stand auf einem ca. 15 Meter hohen Abhang und wollte mich gerade entfernen, weil eine bedrohlich aussehende Gruppe der Bereitschaftspolizei sich näherte. Gehen gewandt, da wurde ich dann von hinten brutal in den Rücken gestoßen. Anschließend bin ich dann den Abhang heruntergefallen und habe mir den Arm gebrochen.

pf: Wurdest Du denn von den Einsatzkräften medizinisch versorgt?

Nein, das nicht. Aber ich hatte Glück im Unglück. In der Nähe waren Demo-Sanitäter, die haben sich dann meiner angenommen, haben einen Dreiecksverband angelegt und den gebrochenen Arm geschient. Danach bin ich ins Krankenhaus Lüneburg getrampt, wo ich geröntgt und ambulant behandelt wurde.

pf: Hast Du in Deiner näheren Umgebung weitere Übergriffe beobachtet?

In diesem Fall waren die Grenzen zwischen Polizeieinsatz und Polizeiübergriff fließend. Wie gesagt, die Polizei ist extrem brutal vorgegangen. Aus meiner Sicht war der gesamte Einsatz unverhältnismäßig. Fast alle Personen, die in meiner unmittelbaren Umgebung waren, hatten wie ich gerötete Augen von dem massiven Tränengaseinsatz. Einige hatten Atembeschwerden. Im Krankenhaus habe ich eine Frau getroffen, die eine 16 cm lange Platzwunde von einem Schlagstock beigebracht bekommen hatte. Die Frau war über fünfzig und hatte friedlich gegen den Castor protestiert. Das fand ich schon ziemlich schockierend. Von den Sanitätern habe ich gehört, dass sie mehrere Personen behandeln mussten, die von Pferden verletzt wurden. Einer jungen Frau wurde wohl der Oberschenkel zertrümmert, als sie von einem Pferd getreten wurde.

pf: Hast Du eine Erklärung für diese, wie du sagst: „unverhältnismäßige Gewaltanwendung“?

Dafür gibt es sicher mehrere Faktoren. Einer war, dass die Polizei nicht auf so viele Demonstrierende vorbereitet war. Das Gefühl der Überforderung bei manchen Beamten und die politische Vorgabe, den Castor mit allen Mitteln durchzuprügeln, haben sicher dazu geführt, dass unverhältnismäßig Gewalt angewendet wurden. Ein anderer Grund war sicher, dass viele Beamte übermüdet und selbst am Rande ihrer Kräfte waren. Ich habe in einem Polizeikessel mit einem Polizisten gesprochen. Der meinte, er sei zu diesem Zeitpunkt seit vierzehn Stunden im Einsatz.

Hinzu kommen weitere strukturelle Faktoren. Mit dem Demonstrationsverbot entlang der Transportstrecke wurde eine demokratiefreie Zone eingeführt. Damit wurde ein Ausnahmezustand hergestellt, der sich offenbar auch auf das Handeln einzelner Polizeibeamter übertragen hat.

Ein anderer Punkt ist, dass die Beamtinnen und Beamten im Einsatz nicht identifizierbar sind. Ausraster bleiben also in der Regel straflos. In meinem konkreten Fall — schließlich habe ich die Beamten von denen ich gestoßen wurde, nicht gesehen — hätte das vielleicht nicht unbedingt etwas geändert. Ich glaube aber schon, dass eine Kennzeichnungspflicht für Beamte dazu beigetragen hätte, dass sich Polizistinnen und Polizisten überlegen, ob sie Straftaten im Dienst begehen.

pf: Wie ist denn mit der Presse umgegangen worden?

Ich persönlich war ja als politisch aktive Privatperson dort und habe deswegen meinen Presseausweis auch zu Hause gelassen. Aber ich weiß natürlich von Kolleginnen und Kollegen, dass die Polizei vor Ort eine eigene Akkreditierung vorgenommen hat. Kolleginnen und Kollegen, die diese Akkreditierung nicht gemacht haben, wurden häufig gar nicht an die Orte des Geschehens gelassen. Das finde ich schon ein starkes Stück, wenn die Polizei bei einem öffentlichen Ereignis derart in die Pressefreiheit eingreift.

pf: Welche Konsequenzen hat das Ganze für Dich persönlich?

Zunächst einmal, dass ich wohl, je nach dem, was die Folgeuntersuchungen ergeben werden, sechs bis zwölf Wochen mehr oder weniger ausgeschaltet bin. Ich werde Ende der Woche eine Operation über mich ergehen lassen müssen. Es kann sein, dass noch weitere Eingriffe nötig werden.

Ansonsten war das Ganze natürlich eine gute Vorbereitung auf den Schwerpunkt unseres nächsten Heftes. Da soll es ja um zivilen Ungehorsam und Dissidenz gehen … da gehört das Thema Repression ja auch dazu.

pf: Vielen Dank für das Gespräch.

„It’s the internet, stupid“

Beitrag von Bodo Ramelow, Petra Sitte u.a., geschrieben am 05.11.2010

DIE LINKE muss in ihrem Programmentwurf die Herausforderungen einer internetbasierten Informationsgesellschaft und Ökonomie berücksichtigen und sich Positionen zur entstehenden digitalen Gesellschaft erarbeiten. Dieses Papier soll auf drängende politische Probleme und Herausforderungen im Zusammenhang mit der Digitalisierung unserer Lebenswelt hinweisen. Wir betrachten es als Aufruf zu einer fundierten programmatischen Debatte.

Das Internet – umfassender gesagt: die modernen, netzbasierten Kommunikationsmittel – sind längst mehr als eine Frage klassischer Medienpolitik, wie sie derzeit noch im Wesentlichen im Programmentwurf behandelt werden. Durch die Verkettung von Internet, mobiler Kommunikation und exponentiell wachsenden Datenmengen entwickeln sich neue gesellschaftliche Räume. Sie reichen von

- neuen Chancen für flexibles, selbst bestimmtes Arbeiten bis hin zur totalen Verfügbarkeit und Kontrolle der Beschäftigten, verbunden mit einer gerade im Dienstleistungs- und Wissensbereich enorm steigenden Produktivität und neuen Ausbeutungsbedingungen;

- neuen Chancen für eine offene Wissens- und Bildungsgesellschaft für jedermann bis hin zu einer digitalen Spaltung der Gesellschaft entlang der bestehenden sozialen und räumlichen Segmentierungen, die dadurch ihrerseits national und weltweit verstärkt werden;

- neuen Chancen für eine nachhaltige Mobilität, indem z.B. strukturschwache Räume durch moderne Kommunikationsmittel gleichwertige Lebensverhältnisse bieten können, bis hin zur Konzentration von Kommunikationsmitteln mit hohen Übertragungsraten allein auf Profit bringende Regionen;

- neuen Chancen für eine lokale wie globale demokratische Einflussnahme der Bürgerinnen und Bürger bis hin zu neuen Möglichkeiten der Manipulation und Verfälschung der Interessen der Bürgerinnen und Bürger, ihrer weitgehenden Überwachung und Kontrolle;

- neuen Chancen für lokale wie global nachhaltige, selbst bestimmte Konsum- und Produktionsweisen bis hin zum „gläsernen Konsumenten“ sowie einer steigenden Kolonisierung des Netzes durch ökonomische Verwertungsinteressen.

Für DIE LINKE muss es darum gehen, die Möglichkeiten der globalen Kommunikationswelt für die Humanisierung der Arbeits-, Mobilitäts- und Konsumwelt, für eine solidarische, gerechte und demokratische Weiterentwicklung der Gesellschaft zu nutzen.

Ziel muss es sein, die individuellen Rechte zu stärken und zugleich Wege zu beschreiten, die den Rechten der Individuen zur Geltung verhelfen. Hier sind neue zivilgesellschaftliche Institutionen gefragt.

DIE LINKE fordert für die digitale Gesellschaft eine Transformation des heutigen Staats- in ein demokratischeres Gemeinwesen. Dabei gilt es mittels digitaler Kommunikationstechnologie die Demokratisierung der Demokratie zu fördern, ohne die Bedürfnisse des Menschen aus dem Blick zu verlieren und die Hoheit der politischen über die technologische Sphäre zu behaupten.

Eine zeitgemäße linke Netzpolitik bewegt sich in einem produktiven Spannungsverhältnis aus der Errichtung gesellschaftlicher Rahmenbedingungen und der Förderung zivilgesellschaftlicher Institutionen jenseits markt-liberaler und klassisch etatistischer Positionen.

Für DIE LINKE ist ein Recht auf Teilhabe an den modernen Kommunikationsmitteln unverzichtbar, eingeschlossen die Forderung, dass es möglich sein muss, ein selbst bestimmtes Leben zu führen, ohne selbst Computer oder Mobiltelefon besitzen zu müssen und/oder elektronische Identitätsnachweise nutzen zu müssen.

DIE LINKE sollte die neuen Kommunikationstechnologien als politisch spannende Gestaltungsaufgabe begreifen. Die Umwälzung der Welt durch Computer und Internet ist in ihren Folgen mit der Entwicklung des Buchdrucks mit beweglichen Lettern zu vergleichen. Nichts wird bleiben, wie es war. Entsprechend muss auch das Programm einer modernen demokratisch-sozialistischen Partei den Anspruch besitzen, die Lebenswelt des 21. Jahrhunderts abzubilden und human gestalten zu wollen.

Das Internet und das damit einhergehende digitale Zeitalter kann die in den 1930er Jahren von Bert Brecht formulierte Radiotheorie Realität werden lassen. Sobald mit einem Gerät nicht mehr „nur“ empfangen werden könne, sondern auch gesendet, entstünde der „denkbar großartigste Kommunikationsapparat des öffentlichen Lebens“, schrieb Brecht damals. Heute werden im Internet Ansätze einer gesellschaftlichen Praxis ausprobiert, die der Totalität des Konkurrenzzusammenhangs und der Warengesellschaft eine Alternative im Brechtschen Sinne entgegenhält. Diese Alternative gibt es aber nur dann, wenn jeder gleichberechtigt senden und empfangen kann.


Auch im Deutschen Bundestag ist die inhaltliche Herausforderung angekommen. Eine Enquetekommission „Internet und digitale Gesellschaft“ beschäftigt sich mit den Themen, die durch die neuen Medien gestellt werden. Für DIE LINKE arbeiten hier Dr. Petra Sitte und Halina Wawzyniak mit.

Neue Infrastruktur – Informationsnetze sind die Schienennetze des 21. Jahrhunderts

Nachdem Computer in die Arbeitswelt und später ins Privatleben einzogen, startete Anfang der 1990er Jahre das World Wide Web in seiner heute bekannten, im Prinzip der Allgemeinheit zugänglichen Form. Zunächst als Verbindung zwischen Forschungseinrichtungen erdacht, entwickelte es sich schnell zum globalen Ökonomie- und Gesellschaftsnetz und seit der Jahrtausendwende zum – sofern Anschluss besteht – weltweiten Massen- und Leitmedium. Wir haben es nicht mit einer temporären Entwicklung zu tun, sondern mit der Entstehung eines neuen Produktionsinstruments und Lebenswerkzeugs.

72 Prozent aller über 14-jährigen Einwohner der Bundesrepublik sind heute online, in der Gruppe der 14- bis 29-Jährigen ist das Internet mit einer Nutzungsrate von 95,8 Prozent praktisch allgegenwärtig. In der Generation 50plus nutzt annähernd die Hälfte das Internet, die größte Zuwachsrate bei der Netznutzung war im vergangenen Jahr bei 60- bis 69-Jährigen zu verzeichnen. Ähnlich wie der Buchdruck verändert die internetbasierte Informations- und Kommunikationswelt nicht nur die Art und Weise, wie wir Medien im breiten Sinne nutzen, sondern auch die Ökonomie sowie den Alltag der Gesellschaft tief greifend.

Die digitale Gesellschaft wird das Leben des 21. Jahrhunderts entscheidend mitbestimmen. Das Internet ist nicht mehr Hobby weniger, technikversierter Experten, sondern ein konstituierender Bestandteil unserer Gesellschaft. Wer diese Entwicklung ignoriert und sich Antworten verweigert, wird bald gesellschaftspolitisch isoliert sein.

DIE LINKE muss Positionen und Forderungen zu folgenden Themen finden:

1. Gleichberechtigte Teilhabe und Grundversorgung

2. Demokratie in der digitalen Gesellschaft

3. Daten- und Verbraucherschutz

4. Wissensproduktion und Urheberrecht

5. Veränderte Arbeitswelt und prekäre Beschäftigung

6. Umweltschutz und Nachhaltigkeit

7. Medienkompetenz

8. Rechtsdurchsetzung und Kriminalitätsbekämpfung

Informationsnetze als Infrastruktur des 21. Jahrhunderts müssen gesellschaftlich gestaltet werden. Die Zeiten des digitalen „Go West“ und des unregulierten Absteckens von Claims sind ebenso wie die zunehmenden Begehrlichkeiten der staatlichen Kontrolle zu Gunsten einer transparenten und demokratischen Regulierung und des Zugangs für alle fortzuentwickeln. Es bedarf einer Revitalisierung und Zurückgewinnung des öffentlichen Raums Internet.

Dies wird angesichts eines globalen Informationsraums und allgegenwärtiger staatlicher Kontrollinteressen nicht über eine Reaktivierung überlieferter Formen von Staatseigentum funktionieren. Vielmehr bedarf es zur Sicherung individueller Rechte einer Verbindung von öffentlichem Eigentum mit neuen Formen von Transparenz für und Kontrolle durch die Öffentlichkeit.

1. Gleichberechtigte Teilhabe, Netzneutralität und Grundversorgung

Einer Zwei- oder Mehr-Klassen-Informationsgesellschaft gilt es mit aller Kraft entgegenzutreten. Der auch in Deutschland angekommenen Debatte über Netzneutralität kommt – angesichts wachsender Zentralisations- und Konzentrationsprozesse im Markt der Netzbetreiber und Dienste-Anbieter – eine herausgehobene Bedeutung zu. Die Grundvoraussetzungen des Netzes bestehen in seiner verteilten, zentrumslosen Struktur und einer paketvermittelten, gleichberechtigten Steuerung. Anders ausgedrückt: Das Netz sollte weder einen lokalisierbaren Eigentümer noch eine zentrale Leitung besitzen. Diese Grundlagen eines Systems der offenen Informationsbereitstellung garantieren seinen fortbestehenden Erfolg und seine innovative Dynamik. Sie sind die Basis für einen demokratischen Charakter des Netzes und für die Aufhebung des Sender- und Empfängerprinzips. Die Neutralität des Netzes steht allerdings aktuell und fortlaufend aus Profitinteresse zur Disposition.

Den Versuchen von Anbietern, das Internet durch Dienste- und Qualitätsklassen in unterschiedliche, einzeln bepreisbare Kanäle aufzuspalten und so die Infrastruktur aufzuspalten und einzelne Teile des Internets zu blockieren, ist entschieden zu begegnen. Es muss unser Anliegen sein, einen egalitären Zugang zum Netz auch technisch zu sichern. Ein wichtiges Mittel ist hierbei die Forderung nach sauberer Trennung von Netzbetrieb und Dienste-Angebot. Die Sicherung der Netzneutralität ist – wie die Versorgung mit Wasser und Strom – eine wichtige infrastrukturelle Aufgabe, die nicht der Steuerung durch den Markt überlassen bleiben darf.

Weil vor allem Markt und Anbieterinteressen maßgeblich sind, belegen z.B. die ostdeutschen Flächenländer die letzten Plätze in der Nutzung des Internets. Auch hängen Einkommen und Nutzungsverhalten deutlich zusammen. 92 Prozent aller Menschen, die in Haushalten mit einem monatlichen Haushaltseinkommen über 3000 Euro leben, nutzen regelmäßig das Internet, aber nur knapp über 50 Prozent bei einem Haushaltseinkommen von weniger als 1000 Euro. Hier besteht ein genuiner Anknüpfungspunkt für linke Politik, die stets die Interessen sozial Benachteiligter im Blick haben muss.

Wenn im Programmentwurf über die „Grundversorgung mit lebensnotwendigen Leistungen“ (Seite 12) gesprochen wird, muss – ebenso wie die Bewahrung von Gleichheit und Freiheit im Netz – als Ziel auch ein gesicherter und für sozial Schwache leistbarer (!) Zugang zu den Informations-, Kommunikations- und Teilhabemöglichkeiten des Internet definiert werden. DIE LINKE muss sich für einen gleichberechtigten Zugang aller Menschen, ob arm oder reich, ob in der Stadt oder auf dem Land, einsetzen. Letzteres bedingt den Einsatz für eine flächendeckende Breitbandversorgung gerade in strukturschwachen Regionen und für alle sozial wie gesellschaftlich Benachteiligten. Kommunale Initiativen zum Netzausbau im ländlichen Raum sollten von LINKER Seite ebenso unterstützt werden wie die Entstehung der Freifunk-Initiativen, die durch freie öffentliche WLAN- oder mobile Netze eine für den Nutzer weitgehend kostenfreie Netz-Grundversorgung sichern.

2. Demokratie in der digitalen Gesellschaft

Der Programmentwurf verweist darauf, dass nicht alle den Zugang zu modernen Medien haben – ohne allerdings einen Vorschlag zu unterbreiten, wie dies zu verändern ist. Stattdessen geht er schnell zu den „alten Massenmedien” über. Tatsächlich aber wäre interessant zu betrachten, wie sich im Rahmen der digitalen Gesellschaft die Einflussmöglichkeiten der Bürgerinnen und Bürger verändern.

Das Netz bietet für Partizipation, Offenheit und Transparenz neue Möglichkeiten. Die Kommunikation in Form von E-Mail, sozialen Netzwerken, Blogs oder Chats nimmt zu. Wichtiger noch, sie nimmt über Filterfunktionen wie Facebook, Twitter und viele andere Angebote aggregiert zu. Hier findet, unabhängig davon, ob sie „wahr“ ist oder nicht, mehr und mehr Meinungsbildung statt. Geschieht dies tatsächlich, ohne dass die traditionellen Massenmedien an Einfluss verlören?

Die Möglichkeiten des Lernens und Wissens, der Themensetzung und der öffentlichen Meinungsbildung über das Internet werden im bisherigen Entwurf nicht behandelt. Dabei verlieren die klassischen Massenmedien insbesondere im Printbereich an Einfluss. Zunehmend „bestimmen“ sie nicht mehr hegemonial, wie im Programmentwurf formuliert, „was wir lernen und wissen, worüber wir reden und was wir meinen sollten“. Sicherlich bestimmen sie weiterhin mit, aber künftig eben nicht mehr allein.

Die Möglichkeiten für mehr gesellschaftliche Teilhabe an politischen Entscheidungen im digitalen Zeitalter sind durch DIE LINKE aufzugreifen – im Sinne auch von Bürgerinnen und Bürger, die sich von der Politik abgewandt haben. „Open Government“ und „E-Demokratie“ sind hier handlungsleitende Stichworte. Wir müssen uns für das demokratische Potenzial des Netzes öffnen, gesellschaftliche Teilhabe herausstellen, verteidigen und ausbauen.

Neue Formen politischer Beteiligung und Entscheidungsfindung in der digitalen Gesellschaft bilden im Programmentwurf eine Leerstelle. Soweit dort von Demokratie und ihrer Verbesserung die Rede ist, wird auf die klassischen Instrumente verwiesen. Bei der Forderung nach Volksentscheiden und Runden Tischen sowie Wirtschafts- und Sozialräten, die die parlamentarische Demokratie ergänzen sollen, zählt allein physische Anwesenheit. Erfolgreiche LINKE Projekte – wie etwa auf kommunaler Ebene umgesetzte Bürgerhaushalte – nutzen digitale Kommunikationsmedien, werden aber im Entwurf nicht aufgegriffen. Auch zu neuen Konzepten wie „Open Data“, sprich: des allgemein freien Zugangs zu nicht genuin schützenswerten öffentlichen Daten wie Archivdaten oder Rechtstexten, findet sich nichts im Entwurf.

Wenn es um demokratische Öffentlichkeit und darum geht, die Vertreter- und Vertreterinnen-Demokratie zu erweitern, dürfen wir die neuen Möglichkeiten für Information und Kommunikation nicht außen vor lassen. Auch innerparteilich, für den Passus „Innerparteiliche Demokratie und Solidarität“, bietet der partizipative Ansatz netzbasierter Kommunikation viele Möglichkeiten, die wir als LINKE nutzen sollten. Dazu können und müssen wir noch viel tun. Schon jetzt sollten wir es ermöglichen, den Programmentwurf im Netz kollaborativ zu diskutieren und zu erarbeiten.

3. Daten- und Verbraucherschutz

Soziale Netzwerke, Suchmaschinen, Geodatendienste, Online-Shops und andere Inhalte-Anbieter sammeln, auch gegen deren Willen, persönliche Daten von Millionen Menschen weltweit und verknüpfen diese. Immer vielfältigere Datenprofile von Nutzerinnen und Nutzern entstehen und werden von privatwirtschaftlichen Unternehmen verwertet. Der Vorteil frei zugänglicher Information und sozialer Interaktion wird durch die Ausbeutung privater Daten aufgehoben. Die Welt als ein mediales Dorf benötigt neue Kontrollmechanismen, damit der Mensch im digitalen Kapitalismus nicht unter den Datenmengen begraben wird.

Es gilt, das Recht auf freie Entfaltung und informationelle Selbstbestimmung der Bürgerinnen und Bürger zu wahren und weiterzuentwickeln. Das Recht auf eine unversehrte Privatsphäre und einen kontextuellen Datenschutz muss auch in Sozialen Netzwerken wie im gesamten World Wide Web gewährleistet werden. Ein wirkungsvoller Schutz, um den Datenhunger der Konzerne zu zügeln und den Nutzerinnen und Nutzern mehr Kontrolle über ihre gespeicherten Daten zu geben, erfordert ein Ensemble von Maßnahmen. Dazu zählen ein „Datenschutzbrief“, der Kundinnen und Kunden über bei Unternehmen und Behörden gespeicherte Daten informiert, ebenso wie die Stärkung von Widerspruchsrechten und Löschansprüchen.

Daten- und Verbraucherschutz dürfen nicht an den Grenzen der Bundesrepublik Halt machen. Eine global vernetzte digitale Gesellschaft braucht länderübergreifende Antworten und Schutzrechte. Wir begrüßen die länderübergreifenden Initiativen der Datenschutzbeauftragten, die sich u.a. für ein Recht auf Anonymität einsetzen.

4. Wissensproduktion und Urheberrecht

Vorläufer des Urheberrechts war das Privileg. Die ständische und autokratische Gesellschaft des 15. und 16. Jahrhunderts verlieh das Druck- und Verlagsrecht im Rahmen der politischen und konfessionellen Zensurpolitik. Der Durchbruch des heutigen Urheberrechts als Eigentumsrecht erfolgte im späten 18. und frühen 19. Jahrhundert in England, Frankreich und den USA, in den folgenden Jahrzehnten im übrigen Europa.

Kreatives Schaffen wurde in Folge durch einen Anteil am Verkaufserlös von Noten, Büchern und später Tonträgern abgegolten. Autoren und Verleger von immateriellen Gütern wie Texten, Bildern, Melodien profitierten von der Denk- und Rechtsfigur des individuellen Eigentums. Damals begann ein langer historischer Prozess der eigentumsrechtlich abgesicherten Kommodifizierung von Kultur, Wissen, Information und Unterhaltung, der am Ende des 20. Jahrhunderts durch Medienkonzentration und Digitalisierung in eine neue Phase eingetreten ist.

So emanzipatorisch die Idee des Urheberrechts war, so führt die geltende Gesetzeslage heute vielfach dazu, dass Verlage und andere Verwerter den eigentlichen Urheberinnen und Urhebern alle Rechte abkaufen (Total-Buy-Out) – oft zu Preisen, die diesen ein tragfähiges Auskommen nicht ermöglichen. Das Urheberrecht ist weitgehend zu einem Industrierecht verkommen. Digitale Technologien bieten die Möglichkeit, Werke deutlich kostengünstiger und unabhängig von solchen Auftraggebern zu publizieren. Die Produktionsmittel liegen nun vollständig in der Hand der Urheberinnen und Urheber. Damit wachsen neue, innovative Produktionsformen in kleinen und kleinsten Strukturen, die auf eine Wirtschaftsweise jenseits der großen Content- und Softwareindustrien verweisen.

Gleichzeitig schwindet die Möglichkeit, über die Vervielfältigung der Werke in Form physikalischer Werkträger Erlöse zu erzielen. Denn im Gegensatz zu traditionellen stofflichen Gütern ist ein informationelles Gut nie exklusives Eigentum. Die Konsumtion des Originals erzeugt eine Kopie, die dem Original ebenbürtig ist und neben diesem weiter besteht und weitergegeben werden kann. Natürlich sind diese Güter weiter an physikalische Träger gebunden (Speicherchips, Festplatte, CD, DVD etc.), aber sie sind nahezu beliebig oft konsumierbar, sofern genügend Energie für die Wiedergabetechnologien zur Verfügung steht. Insofern ist nicht mehr der Besitz, sondern die Nutzung das Entscheidende.

Ferner wächst durch die Digitalisierung die Dimension des nicht kommerziellen Werkschaffens und Publizierens rasant. Mit aktueller, oft freier Software und auf Blogs, Wikis, Fotoportalen etc. kann jede und jeder leicht, schnell und auch mit Qualität kreative Werke publizieren. Dabei erstarken insbesondere Formen kollaborativer und kollektiver Kreativität. Entstanden ist eine Kultur von Remixes und Mash-ups. Musikstücke und Filme werden neu kombiniert. Motor dessen ist häufig das Bedürfnis, über einen kreativen Umgang mit Medien an gesellschaftlichen Debatten teilzunehmen. Sofern gesellschaftlicher Wohlstand auch Zugang zu Wissen bedeutet und von der Möglichkeit einer Teilhabe am kulturellen und gesellschaftlichen Leben abhängt, ist eine solche Teilhabe einem möglichst großen Teil der Bevölkerung zu ermöglichen.

Wenn DIE LINKE diese emanzipatorische Kreativität auch im nicht- und semiprofessionellen Bereich fördern möchte, muss sie eine grundsätzliche Reform des geltenden Urheberrechts erwägen. Dies nicht zu reflektieren, würde bedeuten, Kreativität nur dort einen Wert beizumessen, wo sie wirtschaftlichen Gewinn abwirft. Ein Festhalten an technisch überkommenen Geschäftsmodellen der Kreativindustrie jedenfalls kann nicht Ziel einer zukunftsfähigen LINKEN sein. Gleichwohl müssen wir uns für eine sozialverträgliche Transformation auch dieses Beschäftigungsfeldes stark machen.

Im Programmentwurf werden der „Schutz kreativer Urheberrechte und die freie Nutzung des Internets“ (Seite 20) aufgezählt, als gebe es hier keinen aufzulösenden Widerspruch. DIE LINKE muss Antworten auf die Frage nach einem Urheberrecht im Digitalzeitalter leisten. Sie muss eine plausible Antwort bieten, wie Journalisten, Autoren, Musiker, Webdesigner, Spieleentwickler u.v.m. eine gerechte Entlohnung erzielen können.

Unsere Aufgabe ist es auch, über neue Modelle der Finanzierung kreativer Werke nachzudenken. Dazu zählt auch die Prüfung der Vor- und Nachteile einer pauschalen Gebühr zur Nutzung „geistigen Eigentums“ durch die Haushalte (Kulturflatrate) oder anderer Bezahlmodelle wie Micro Payments. Mindestvergütungen analog der Freien Berufe, können möglicherweise Kreativen und Beschäftigten in einer digitalen Arbeitswelt, die von Scheinselbstständigkeit und prekären Lebensrealitäten dominiert wird, ein auskömmliches Einkommen bieten. Zugleich ist ergebnisoffen zu prüfen, ob ein bedingungsloses Grundeinkommen unter den neuen Verhältnissen eine angemessene Antwort sein kann.

5. Veränderte Arbeitswelt und prekäre Beschäftigung

Die Digital- und Kreativwirtschaft zählt zu den am schnellsten wachsenden Branchen in Deutschland und Europa. Die Beschäftigungsverhältnisse dort sind oft prekär. Lange Arbeitszeiten, unbezahlte Überstunden, mangelnde Aufstiegschancen und geringe Jobsicherheit gehören zum Alltag. Von vereinzelten Versuchen abgesehen bestehen derzeit keine funktionierenden und angemessenen Organisations- und Interessensvertretungen der Betroffenen.

Schlechte Bezahlung und unzureichende Vergütungen sind nicht das Resultat einer immer wieder behaupteten Umsonst-Mentalität der digitalen Gesellschaft. Ein wichtiger Grund hierfür besteht in der Übervorteilung der Kreativschaffenden bei Vertragsschluss. Insofern Kreative oft als Freiberufler tätig sind und folglich keinen tarifrechtlichen Schutz genießen, können sie sich in individuellen Vertragsverhandlungen gegenüber großen Medienkonzernen nur unzulänglich behaupten.

Daran hat sich bis heute wenig geändert, da die bisherigen Regelungen im Urhebervertragsrecht unzureichend sind. Die im Gesetz ausdrücklich verlangten „gemeinsamen Vergütungsregeln“ wurden bislang in lediglich zwei Teilbranchen abgeschlossen – mit für die betroffenen Kreativen völlig unzureichenden Ergebnissen. In anderen Teilbranchen der Kultur- und Kreativwirtschaft ist es entweder gar nicht erst zu Verhandlungen oder letztlich nicht zum Abschluss der gesetzlich geforderten Vergütungsregeln gekommen.

Üblich hingegen sind in der gesamten Kultur- und Kreativwirtschaft Buy-Out-Verträge, bei denen umfangreiche Nutzungsrechte gegen die Zahlung von einmaligen Grundvergütungen übertragen werden. Um die Stellung der Urheberinnen und Urheber zu verbessern, ist deshalb eine Regelung erstrebenswert, die ihnen eine größere Kontrolle über ihre Rechte ermöglicht. DIE LINKE setzt sich daher für ein Verbot von Buy-Out-Verträgen ein.

Neben den vom Urhebervertragsrecht erfassten Kreativen ist von schlechter Bezahlung und prekärer Beschäftigung auch ein Informationsproletariat in der Games-Industrie, der Film- und Fernsehproduktion sowie in weiteren Branchen erfasst. Hinzuzuzählen sind ebenfalls die Beschäftigten in einer großen Zahl von Callcentern. Digitale Hardware wird zudem in der Regel in Weltregionen produziert, in denen kein ausreichender Arbeitsschutz, keine Rechte für Arbeitnehmerinnen und Arbeitnehmer und unzureichende Bezahlung bestehen. Solche Ausbeutungsbedingungen müssen durch DIE LINKE benannt und bekämpft werden.

Im Programmentwurf wird zu Recht beklagt, dass „informelle und prekäre, unterbezahlte und sozial ungesicherte Arbeit zur Normalität” wird. Er geht jedoch uneingeschränkt davon aus, dass die Grundlage der Arbeitswelt eine abhängige Beschäftigung ist und bleibt. Der Entwurf blendet aus, dass es einen zunehmenden Anteil von selbstständigen Kreativen gibt, auf die das Leitbild der abhängigen Beschäftigung nicht passt. DIE LINKE muss sich Gedanken machen, was sie im Hinblick auf Arbeitsplatzsicherheit, Arbeitszeit und Bezahlung für diesen Personenkreis fordert, will sie weiter gesellschaftlich anschlussfähig bleiben.

6. Umweltschutz und Nachhaltigkeit

Die Infrastruktur der digitalen Gesellschaft – vom digitalen Versandhandel über die permanente Anbindung an das Internet bis hin zu netzbasierten Produktionsdienstleistungen – verbraucht große Mengen Energie und wird damit zu einem CO2-Emittenten ernstzunehmender Dimension. Die rasant wachsende Kommunikationsbranche hat erhebliche Auswirkungen auf weltweite Produktionsstandards, den Verbrauch natürlicher Ressourcen und die vom Menschen verursachte Erderwärmung.

Rechtliche Regelungen für die Branche müssen schnellstmöglich sicherstellen, dass in der gesamten Wertschöpfungskette die Zunahme des Energie- und Rohstoffverbrauchs gebremst, aber auch Sozialstandards für Arbeitnehmerinnen und Arbeitnehmer gesichert werden.

Die digitale Gesellschaft macht die Notwendigkeit der Veränderung der Energiegewinnung hin zu regenerativen Energiequellen und die Entwicklung energieeffizienter und Ressourcen schonender Infrastruktur und Hardware noch dringlicher. Zugleich entstehen mit „intelligenten Stromnetzen“ (Smart Grid) neue Technologien zur digitalen Steuerung der Energieversorgung und Energieeinsparung. Sie gilt es zu fördern, etwa durch eine gezielte Investitionspolitik und unter Umständen nach erfolgter Rekommunalisierung der Netzinfrastrukturen.

Dringender Handlungsbedarf besteht auch zur Aufhebung von externalisierten Kosten wie den untragbaren Produktionsbedingungen digitaler Kommunikationsmittel in den Sweat Shops Südostasiens sowie den – nicht selten über bewaffnete und kriegerische Auseinandersetzungen geführten – Bedingungen um Ausbeutung und Aneignung stofflicher Rohstoffe und Seltener Erden in den Ländern der so genannten Dritten Welt.

7. Medienkompetenz

Parteienübergreifend wird die Notwendigkeit von Medienkompetenz erkannt. Dennoch fehlt es weiterhin an einem umfassenden Konzept zur Förderung von Medienkompetenz. Bund und Länder befördern fröhlich Einzel- und Pilotprojekte.

Das Internet wächst mit immer neuen Diensten und Inhalten enorm, greift in gewachsene Strukturen ein, stellt unser Rechtssystem vor neue Probleme und prägt zunehmend auch unsere private Kommunikation. Digitale Medien verlangen von jedem Einzelnen stetig wachsende und sich ändernde Kompetenzen, deren Vermittlung staatlicher Bildungsauftrag ist. Medienkompetenz darf nicht ausschließlich vom Elternhaus oder materieller Ausstattung abhängig sein. Bürgerinnen und Bürger müssen analytische Fähigkeiten entwickeln, um digitale Medien und Medieninhalte zu verstehen, kritisch zu bewerten sowie selbst in vielfältigen Kontexten zu kommunizieren. Adressaten einer zeitgemäßen Medienkompetenz sind deshalb alle Menschen – von den so genannten Silver Surfern, der immer stärker im Netz vertretenen Generation 50plus, über politische und wirtschaftliche Entscheidungsträger bis hin zu insbesondere Kindern.

Medienkompetenzvermittlung darf nicht hinter der Schultür aufhören, sondern muss bereits in Kitas und Horten beginnen und Teil der Fort- und Weiterbildung in allen Altersstufen und allen sozialen Bereichen sein. Der Absatz „Emanzipatorische Bildung“ (Seite 19) im Programmentwurf ist entsprechend um einen Passus „Medienkompetenz als gesamtgesellschaftliche Aufgabe“ zu erweitern.

Weiter sollte darauf hingewiesen werden, dass eine patriarchal gedachte Verbots- und Bewahrpädagogik, die auf Basis eines repressiv verstandenen Jugendschutzes den kompetenten Umgang und die aktive Auseinandersetzung durch die Nutzerinnen und Nutzer neuer Medien zu beschränken sucht, nicht im Sinne eines emanzipatorischen Menschenbilds sein kann.

Auch ist die Vermittlung von Medienkompetenz in der digitalen Gesellschaft nur möglich, wenn der Punkt „Internet als öffentliche Daseinsvorsorge“ einen besonderen Stellenwert einnimmt. Zugang zu und damit kompetenter Umgang mit digitalen Medien ist allen Menschen unabhängig von ihrer sozialen Lage zu ermöglichen. Eine entsprechende Ausstattung in öffentlichen Einrichtungen muss selbstverständlich sein.

8. Rechtsdurchsetzung und Kriminalitätsbekämpfung

Immer öfter ist vom Internet als einem Tummelplatz der Unmoral, einem Hort der Perversion, des beständigen Tabubruchs, des Terrorismus und einem Abgrund des Verbrechens zu lesen. Forderungen nach Eindämmung von Sex, Kindesmissbrauch, Extremismus und Gewalt im Netz gehen einher mit solchen nach schärferen Sanktionen für Diebstahl geistigen Eigentums, unkanalisiertes Online-Glücksspiel, illegalen Medikamentenhandel u.v.m. Nicht fehlen darf in diesem Diskurs auch der Hinweis auf den vermeintlich ubiquitär erforderlichen Ausbau staatlicher Sicherheits- und Kontrollbefugnisse im Internet. Die Beschwörung der dunklen Seite des Netzes dient in diesem Monolog der Ängste und Phobien als Instrument zur Durchsetzung von technischen und juristischen Kontroll- und Eigentumstiteln.

Solch interessengeleitete Skandalisierung bedient die Rufe nach Vorratsdatenspeicherung, Internetsperren und weiteren Maßnahmen zur anlasslosen Totalüberwachung des Netzes. Internetsperren und Überwachung des Datenverkehrs implizieren eine Zensur jeglicher Netzaktivitäten. Die Errichtung einer Kontrollinfrastruktur im Netz würde die Erstellung von Bewegungsprofilen, die Rekonstruktion geschäftlicher Kontakte, die Identifikation von Freundschaftsbeziehungen sowie Rückschlüsse auf den Inhalt der Kommunikation, auf persönliche Interessen und die Lebenssituation der Kommunizierenden ermöglichen.

Richtig ist, dass Kriminalität auch mit Hilfe des Internet verübt wird. Richtig ist aber auch: rechtswidrige Angebote müssen entfernt werden – kriminelle Aktivitäten und insbesondere Kinderpornographie im WWW und auf Verbreitungswegen neuer Kommunikationstechnologien gilt es effektiv zu bekämpfen. Ein wirksamer Schutz gegen kriminelle Angebote im Netz gelingt, wenn entsprechende Angebote auf inkriminierten Servern kurzfristig gelöscht werden. Dazu müssen die Strafverfolgungsbehörden schneller und flexibler agieren können, als es heute geschieht. Erforderlich ist eine nationale und internationale Optimierung und Koordinierung von „Notice and Take-down“-Prozeduren.

Dass der Kampf gegen strafbare Inhalte im Netz international bei Vorhandensein eines grundlegenden Interesses effektiv geführt werden kann, zeigt eine Studie von Computerwissenschaftlern an der Universität Cambridge. Demnach werden Websites, die zu Phishing-Angriffen gegen Banken genutzt werden, um Kontodaten von Kunden auszuspähen, durchschnittlich binnen 4,8 Stunden vom Netz genommen, während das für kinderpornographische Websites im Durchschnitt erst nach 30 Tagen erfolgt.

Medienkompetenz, der Kampf gegen Rassismus und Neo-Faschismus, die Stärkung individueller Rechte gegenüber Übervorteilung und Betrug sowie die Verfolgung von Straftaten sind in der digitalen Gesellschaft ebenso wichtig wie in der analogen Welt.

Eine andere digitale Welt ist möglich!

Nutzen wir den Programmkonvent am 7. November in Hannover. Kommen wir zusammen, lasst uns über DIE LINKE und die digitale Gesellschaft sprechen – mit dem Ziel, den Programmentwurf im kommenden Jahr zu bereichern und zu verändern, damit DIE LINKE nicht ein Programm für das falsche Jahrhundert bekommt. Und damit es künftig nicht heißt: „It’s the internet, stupid.“


UnterzeichnerInnn

Bodo Ramelow (MdL), Vorsitzender der Fraktion DIE LINKE im Thüringer Landtag

Dr. Petra Sitte (MdB), stellvertretende Vorsitzende der Fraktion DIE LINKE im Bundestag

Halina Wawzyniak (MdB), stellvertretende Vorsitzende der Partei DIE LINKE

Christoph Nitz, Bundessprecher der AG Linker Medienmacher/innen und Geschäftsführendes Vorstandsmitglied der Linken Medienakademie e.V.

Sebastian Koch, BAG Digitale Demokratie

Dr. Jürgen Scheele, AG Medien, Gesprächskreis Netzpolitik der Rosa-Luxemburg-Stiftung

Thomas Lohmeier, Redaktion „Prager Frühling – Magazin für Freiheit und Sozialismus“

Jörg Braun, Mitarbeiter für Netzpolitik bei Petra Sitte (MdB)

Tobias Schulze, BAG Wissenschaftspolitik

Timo Luthmann, mensch.coop e.G.

Norbert Schepers, BAG Digitale Demokratie, Gesprächskreis Netzpolitik der Rosa-Luxemburg-Stiftung


Redaktion: Jörg Staude

V.i.S.d.P.: Christoph Nitz, Weitlingstraße 35, 10317 Berlin, christoph.nitz@lima-akademie.de

Grenzgang

Beitrag von Kolja Möller&Katja Kipping, geschrieben am 02.11.2010
Hermann Scheer

Als wir vom prager frühling Hermann Scheer vor wenigen Monaten interviewten, dachten wir nicht im Traum daran, dass er so plötzlich sterben konnte. Er war Stichwortgeber und Motor für das Institut solidarische Moderne und arbeitete unermüdlich an seinem Aufbau. Wir waren froh mit Hermann Scheer einen politischen Weggefährten zu haben, der ganz dem entsprach, was unser Selbstverständnis als Magazin prägt: Kritik statt Konformismus, Überschreitung statt Selbstgenügsamkeit, „Illusionslosigkeit über das Zeitalter bei gleichzeitigem Bekenntnis zu ihm“ (Walter Benjamin, Erfahrung und Armut (1922). Wir erkannten in Hermann diejenigen Tugenden, die zwischenzeitlich bei den politisch Engagierten oft zu verblassen scheinen oder gar keine Rolle mehr spielen. Nämlich die Bereitschaft Grenzen zu überschreiten, anderen und auch sich selbst gegenüber ein bisschen herausfordernd bis unangenehm zu sein; sich nicht abspeisen zu lassen. Hermann gelang dies in vielerlei Hinsicht beispielhaft. Er überschritt den Horizont der SPD-Parteipolitik und initiierte zivilgesellschaftliche Bewegung, schrieb unentwegt Bücher und hielt Vorträge, um trotzdem im entscheidenden Moment als Parlamentarier subversiven Einfluss zu nehmen. Ein Grenzgang, ein ständiges Überschreiten und Wieder-Einlassen auf die Probleme der Zeit.

Es ist genau jene Logik des Grenzgangs, die ein Leitbild des politischen Engagements innerhalb der gesellschaftlichen Linken bildet. Uns begeistern solche Grenzgänger. Karl Marx war eben kein Partei-Apparatschik, sondern kritisierte das Gothaer Programm, August Bebel und Co. Der italienische Kommunist Antonio Gramsci war Parteifunktionär und arbeitete nebenbei an einer Theorie der kulturellen Hegemonie. Der wohl einflussreichste Theoretiker der globalisierungskritischen Linken Antonio Negri besuchte in den 1960er Jahren vor seinen Vorlesungen Arbeiterversammlungen in Fabriken und Lagerhallen. Wer nach Vorbildern fragt, wird zu allererst nicht Namen wie Ernst Thälmann oder Herbert Wehner hören, sondern wahrscheinlich Namen eben jener Grenzgänger.

Die Entwicklung in den 1960er und 1970er Jahren schaffte den Spielraum dafür, dass selbst in den Parteien des politischen Systems zeitweise Platz für solche Grenzgänger, für Leute wie Hermann Scheer war. Es ist schwer vorstellbar, dass sie heute in den postdemokratisch entleerten Parteien den notwendigen Nährboden für ihren Grenzgang finden würden. Schon ohne postdemokratische Entleerung ist die Lage kompliziert: Die Grenzgänger bleiben in Erinnerung, sie motivieren und scheinen unersetzlich, in der Realität hält man sie natürlich regelmäßig für ersetzbar oder überflüssig. Sie müssen kämpfen, gehen nicht selten auf ihrem Grenzgang kaputt, mutieren zu üblen Apparatschiks oder igeln sich in Zynismus ein. Die große Leistung von Hermann Scheer bestand darin seinen Grenzgang konsequent weitergegangen zu sein und ihn auszuhalten. Er hat viel bewegt. Noch stärker wiegt jedoch das, was er nicht getan hat. Er hat sich die „Bedienung seines eigenen Verstandes“ (Kant) weder selbst verboten noch verbieten lassen. Er ist nicht Teil einer neuen Mitte geworden, die Krieg und Sozialabbau zu „humanitärer Intervention“ und „fördern und fordern“ umgedeutelt hat. Und er hat sich im Gegensatz zu vielen seiner ehemaligen Mitstreiter aus der SPD-Linken und Friedensbewegung trotz fortgeschrittenen Alters nicht in einen altväterlichen Konservatismus zurückgezogen. Mit der Idee einer „solidarischen Moderne“ hat er daran mitgewirkt eine linke Zukunftsorientierung zu mobilisieren, die grundsätzlich mit bestehenden gesellschaftlichen Grundstrukturen bricht und Grenzen zu überschreiten sucht. Mit dem Tod Hermann Scheers stellt sich die dringende Frage, wo der Ort des Grenzgangs ist, den wir so dringend brauchen, um tatsächliche Veränderungen zu bewirken? Wer soll ihn überhaupt gehen und wer geht ihn schon? Wo ist seine Schule?

„Wir wollen die Armen ermächtigen.“

Beitrag von Interview: Stefan Gerbing, geschrieben am 18.10.2010

Hilma Shindondola, Direktorin des Labour Resource and Research Institute Windhuk (LaRRi) spricht im Interview über den Modellversuch zum Bedingungslosen Grundeinkommen (BGE) in Otjivero-Omitara (Namibia) und die jüngsten Auseinandersetzungen zum BGE im Gewerkschaftsdachverband NUNW. In der ca. 1000 Einwohnerinnen und Einwohner zählenden Gemeinde östlich von Windhuk wurde jeder Person unter 60 Jahren zwischen Januar 2008 und Dezember 2009 ein Bedingungsloses Grundeinkommen von 100 N$ ausgezahlt. Die Basic-Income-Grant-Coalition (BIG-Coalition) wollte mit diesem Modellversuch herausfinden, welche Effekte die Einführung des Grundeinkommens hat. Bisher zögert die namibische Regierung ein landesweites BGE einzuführen.

Eine Darstellung des Projekts und der Abschlussbericht finden sich unter www.bignam.org.

prager frühling (pf): Wie entstand das Pilotprojekt in Otjivero-Omitara und was waren die Überlegungen?

Hilma Shindondola: Das Bedingungslose Grundeinkommen (BGE) war ein Vorschlag der Namibischen Steuerkommission. Diese Steuerkommission, NAMTAX, wurde gegründet, um Vorschläge zu entwickeln, wie sich Armut am besten bekämpfen lässt. Ihr Vorschlag war die Einführung eines BGE, einer Zuwendung, die allen in Namibia zuteil wird. Dies soll sicher stellen, dass die Verwaltungskosten möglichst gering bleiben und Korruption vorgebeugt wird. Wenn man erst einmal anfängt zu prüfen, wer arm ist und wer nicht, dann endet man in einem bürokratischen Albtraum. Es kann dann sein, dass es Leute gibt, die behaupten, dass sie arm sind ohne es zu sein. Wie auch immer, auch beim BGE erhalten Leute, die nicht arm sind, die Zuwendung. Sie haben davon nicht so viel, weil Sie durch eine stärkere Besteuerung auch wieder mehr abgeben müssen.

pf: Welche Gruppen haben die BIG-Coalition getragen?

Shindondola: DieBIG-Coalition wie sie jetzt existiert, besteht aus verschiedenen zivilgesellschaftlichen Organisationen. Der NUNW – dem größten Gewerkschaftsdachverband, der neun verschiedene Einzelgewerkschaften repräsentiert.

LaRRi beteiligte sich ursprünglich als eine unterstützende Organisation der NUNW. Jetzt sind wir selbstständig vertreten. Wir bieten Beratung, Unterstützung und Forschung und vieles andere mehr. Außerdem ist eine große Organisation, NANASO, der Dachverband aller AIDS und HIV betreffenden Gruppen in Namibia, vertreten. Außerdem ist eine große Jugendorganisation, der nationale Jugendrat vertreten. Das ist eine Dachorganisation aller Jugendverbände: … Und natürlich ist die Kirche dabei. Weil all diese Organisationen Mitgliedsorganisationen sind, repräsentieren sie einen Großteil der Bevölkerung. Anfangs war die Idee: Lasst es uns selbst schafften. Wir können Fundraising in anderen Ländern machen. Daher kam auch ein Großteil der Gelder für das Pilotprojekt, z. B. von Brot für die Welt, die uns sehr unterstützt haben und es nach wie vor tun. – Aber unser Ziel war es, dass wir Namibier für uns selbst sorgen sollten. Weil wir dazu in der Lage sind. Wir haben die Ressourcen dazu und mit dem BGE ließe sich der Wohlstand umverteilen. Das ist die grundlegende Idee: Universalität und der Gedanke der Armutsbekämpfung.

pf: Wie so haben Sie sich entschieden ein Bedingungsloses Grundeinkommen zu unterstützen? Was ist der Vorteil gegenüber Transferleistungen, die an Bedingungen geknüpft sind?

Shindondola: Die Frage, an wen Zahlungen geleistet werden, bilden den Kern der Debatte. In Namibia wird manchmal gesagt: Warum geben wir das Geld nicht den ganz Armen? Aber wer ist ganz arm? Wie entscheidet man das? Andere argumentieren: Warum geben wir nicht den Erwerbslosen Unterstützung? Aber wir haben eine ganze Menge sogenannter working poor - Menschen, die arbeiten, aber arm sind. Das ist der Grund, warum wir meinen, wir sollten Menschen nicht auf dieser Grundlage ausschließen und die Unterstützung so inklusiv wie möglich machen.

In meinem Leben macht das BGE keinen so großen Unterschied, weil ich ja ein gewisses Einkommen habe. Für einen anderen macht es aber einen enormen Unterschied. Für mich ist es eine Aufbesserung meines Einkommens. Auch wenn ich natürlich mehr Steuern zurückzahlen muss. Aber ich wäre glücklich, wenn ich weiß: Mein Nachbar hat mehr Essen auf dem Tisch. Die meisten Menschen denken aber nicht über die Implikationen des BGE nach. Wenn man z. B. über die hohe Armuts- und Kriminalitätsrate spricht, dann sagen wir: Die Leute begehen Straftaten, weil sie hungrig sind. Wenn alle ein Einkommen haben, dann werden sie eben nicht in Geschäften stehlen. Das wird sich auch darin widerspiegeln, dass es weniger Viehdiebstahl gibt, dass weniger Handtaschen geraubt werden. Wir würden vermutlich in einer viel friedlicheren und kriminalitätsärmeren Gesellschaft leben. Armut führt nun einmal zu Frustration. Darüber denken aber die Gegner des BGE nicht nach. Es gibt hier viele Fälle von häuslicher Gewalt, dies hat sicher auch viel mit dieser Frustration zu tun. Mit einer gewissen finanziellen Unterstützung wären Menschen sicher nicht so unter Druck. Vielleicht bekommen sie nicht sofort eine Vollzeitstelle. Aber sie wissen, dass sie in einen Laden gehen können, um Brot zu kaufen. Ohne herumzusitzen und darauf zu warten, dass jemand vorbeikommt und ihnen etwas gibt. Das Modell hat also viele Implikationen! Das ist die Nachricht, die vermittelt werden soll.

pf: Wie steht denn die namibische Regierung mittlerweile zum BGE?

Shindondola: Wir wissen, dass es viele Leute in der Regierung gibt, die das BGE unterstützen. Die erste Person, die sich für das BGE stark gemacht hat, war Hage Geingob.[1] Er ist derzeit Minister für Handel und Industrie und eine wichtige öffentliche Person. Aber das Problem ist, dass es immer auch unterschiedliche Positionen zum BGE gegeben hat. Es hat von Seiten der Regierung nie eine Positionierung gegeben, wie man sich nun zu diesen Belangen verhält. Als wir nach sechs Monaten einen Zwischenbericht vorgestellt haben und unsere Erkenntnisse der Öffentlichkeit präsentierten, hat sich der damalige Präsident Sam Nujoma begeistert gezeigt. Aber die Regierung ist nie an die Öffentlichkeit gegangen, um das BGE zu unterstützen und zu sagen: Wir glauben, dass es eine gute Initiative ist. Wir haben unsere Erkenntnisse auch dem Premierminister[2] vorgestellt. Aber er fragt nach wie vor: Würde das BGE nicht Untätigkeit Vorschub leisten? Wir sagen: Nein, unsere Befunde zeigen etwas anderes.

pf: Was genau waren denn die Befunde?

Shindondola: Menschen, die in Haushalten leben, in denen es kein Einkommen gibt, sind viel verletzbarer durch Armut. Sie können häufig keine Arbeit finden, weil Sie kein Geld haben um zu reisen. Nachdem diese Menschen das BGE erhielten, konnten Leute reisen und Arbeit suchen. Es hat also gerade nicht Untätigkeit Vorschub geleistet.

pf: Welche anderen sozialen Effekte wurden registriert?

Shindondola: Menschen waren erstmals in der Lage, zur Schule zu gehen. In Otjivero-Omitara gibt es nur eine Grundschule, die bis zur 7. Klasse geht. Das war für die meisten Menschen der höchste Bildungsabschluss. Zum ersten Mal konnten nun Menschen Otjivero-Omitara verlassen und in eine weiterführende Schule gehen.

Auch der Zugang zum Gesundheitssystem hat sich sehr verbessert, denn nun konnten die Armen Gesundheitsleistungen in Anspruch nehmen und auch dafür bezahlen. Die gezahlten Schulgebühren haben sich verdoppelt, fast verdreifacht. Die Einschreiberate an der Schule liegt bei fast 100 Prozent. Die Kinder können länger am Unterricht teilhaben, anders als früher, als sie dies nicht konnten, weil sie hungrig waren. Es gibt also Auswirkungen auf ganz verschiedenen Ebenen. Deswegen argumentieren wir: Die Diskussion sollte sich nicht auf die 100 N$ fokussieren, sondern auf den „trickle down-Effekt“, also auf die Frage, wie sich 100 N$ auswirken. Wenn zum Beispiel in einem Haushalt sechs Personen leben, dann hat dieser Haushalt ein zusätzliches Einkommen von 600 N$. Eltern können dann z. B. entscheiden, was Sie mit diesem Geld machen.

pf: Kritiker wenden ein, das Geld könnte unverantwortlich eingesetzt werden...

Shindondola: Wir schreiben den Leuten nicht vor, wie sie das Geld auszugeben haben. Auch wenn Leute entscheiden, dass sie es für Alkohol ausgeben wollen – auch Millionäre geben Geld für Alkohol aus. Nur weil Leute arm sind, denken andere, dass sie faul sind, dass sie das ganze Geld versaufen. Das ist eine Beleidigung von Armen. Auch arme Menschen setzen Prioritäten. Manchmal wissen sie nur nicht, wie sie diese verfolgen sollen, da sie keine Möglichkeiten dazu haben. Wir haben herausgefunden, dass die Leute in Omitara durchaus Prioritäten hatten. Sie wussten ganz genau, was sie wollten und haben dann ihre Pläne dementsprechend verfolgt. Deswegen lehnen wir diese ganzen Geschichten über Faulheit und Alkoholismus ab. Tatsächlich haben diese Dinge abgenommen. Die Kriminalitätsrate sank z. B. deutlich, weil es sich um armutsbezogene Kriminalität handelte. Die Leute haben gestohlen, um zu überleben. Sie haben gestohlen, um Essen auf dem Tisch zu haben. Sie haben Vieh von den benachbarten Farmen gestohlen – all das hat nachgelassen, weil die Leute hungrig waren und hungrige Menschen sind zu allem in der Lage, um zu überleben.

pf: Wie hat der IWF und die Weltbank auf das BGE reagiert?

Shindondola: Deren Argumentation ging vorallem in die Richtung: Das wird nicht funktionieren, das ist nicht nachhaltig. Es könnte sich als kostspielig erweisen, es könnte Untätigkeit verstärken. Es ist ein Unglück, dass die Weltbank solche Aussagen trifft. Wir verstehen ihr Motiv nicht. Wenn sie einerseits sagen „Namibia hat ein hohes Maß an Einkommensungleichheit“, warum sind sie dann andererseits nicht offen gegenüber Diskussionen, wie man diese Einkommensungleichheit beheben kann? Wir glauben, dass das BGE dafür der beste Weg ist. Tatsächlich haben sie bei der Bestimmung der Kosten des Projekts zum Teil sogar mit falschen Zahlen gearbeitet. So haben sie zum Beispiel die 600.000 Rentner, die eine große Bevölkerungsgruppe in Namibia sind, in die Zahl derer eingerechnet, die das BGE erhalten. Diese gehören aber gar nicht zu den Anspruchsberechtigten, weil Sie bereits eine Rente bekommen und deswegen nicht vom BGE profitieren. Nur die Unter-Sechzigjährigen in einem Haushalt erhalten das BGE.

Wir treten für eine Vielfältigkeit der Einkommen in einem Haushalt ein, um sie gegen Schocks, gegen Armut und gegen Krankheiten zu schützen. Es ist traurig, dass die Weltbank und der IWF in der beschriebenen Weise reagiert haben. Aber sie haben sich seitdem nicht geäußert. Seit wir die ersten Zwischenergebnisse der Pilotstudie nach sechs und nach zwölf Monaten präsentierten, haben sie nichts mehr geäußert, um unsere Befunde zu widerlegen.

pf: Nichtsdestotrotz gibt es weiter Kritiker wie Rigmar Osterkamp vom deutschen wirtschaftsliberalen ifo-Institut…

Shindondola: Ja, es gibt diesen deutschen Professor, Herr Osterkamp, der kontinuierlich negative Artikel über das BGE und über unsere Bemühungen schreibt. Das ist wirklich ziemlich traurig. Er behauptet, dass die Idee zum BGE aus Deutschland kommt und dort nicht eingeführt wurde. Er schließt das auch aus der Tatsache, dass zwei Menschen, die sich in der ersten Reihe für das BGE in Namibia stark gemacht haben, Claudia und Dirk Haarmann, Deutsche sind. Aber nur weil sie Deutsche sind, heißt das ja nicht, dass sie nicht verstehen, was Armut in Namibia heißt. Das ist der Grund, warum wir für das BGE eintreten, während Herr Osterkamp sich hinstellt und sagt: Es ist eine deutsche Idee und weil Sie in Deutschland gescheitert ist, wird nun Namibia als Versuchskaninchen benutzt. Zu sagen „Ihr seid einfach blöd und könnt keine eigenen Entscheidungen treffen“ ist eindeutig eine Beleidigung unserer Intelligenz - nicht nur von den Verfechtern des BGE, sondern auch von unserer Regierung.

pf: Im letzten Jahr gab es im Gewerkschaftsdachverband NUNW einige Konflikte um das BGE. Dieses Jahr trat die NUNW aus der BIG-Coalition aus, im September diesen Jahres gab es den Beschluss auf der Gewerkschaftskonferenz, zurückzukehren.

Shindondola: Es gab kein offizielles Statement zum Verlassen der BIG-Coalition. Das fand alles nur über die Medien statt. Nichtsdestotrotz, es ist klar, dass es eine Einflussnahme gab. Wie Sie vielleicht wissen, ist Gewerkschaftspolitik eng mit der Politik der Regierung verbunden. Und dies alles geschah kurz nachdem der Präsident bekanntgab, dass er nicht glaubt, dass das BGE der bestmögliche Weg ist um Armut zu bekämpfen; dass wir andere Alternativen erkunden sollten; dass das BGE Abhängigkeit und Untätigkeit schaffe. Das sind Argumente, die wir so oft gehört haben, ohne dass jemals ein Beleg dafür erbracht wurde. Wir halten dagegen: Wir haben konkrete Beweise. Was braucht man denn mehr? Der NUNW war damals in einer Situation, in der es Vorbereitungen zu den Kongresswahlen gab. Es gibt eine ganze Reihe von Leuten, die enge Beziehungen zur Regierungspartei haben und sehr einflussreich in der NUNW sind und nicht an das BGE glauben. Sie hatten Einfluss auf die Entscheidung, die BIG-Coalition zu verlassen. Unglücklicherweise haben sie sich nicht an die üblichen Verfahrensregelungen gehalten.

pf: Wer genau hat denn die Entscheidung getroffen und wie haben Sie davon erfahren?

Shindondola: DieEntscheidungwurde vomgeschäftsführenden Ausschuss getroffen, dem nur einige Einzelpersonen angehören. Die Entscheidung wurde aber im Namen aller verkündet, im Namen von tausenden Mitgliedern der NUNW. Unsere Reaktion damals war Schock und Ungläubigkeit, dass wir davon aus den Medien erfahren mussten. Meine Schwester schickte mir eine SMS: Mach den Fernseher an! Da war dann der Generalsekretär der NUNW zu sehen, wie er den Rückzug aus der BIG-Coalition verkündete - mit sofortiger Wirkung. Selbstverständlich mussten wir reagieren und unsere Reaktion war zunächst Enttäuschung. Aber wir hofften, dass der nächste Gewerkschaftskongress beschließen würde: Nein, wir wollen eine Rückkehr zum BGE, weil wir glauben, dass es der einzige Weg ist, Armut zu bekämpfen. Tatsächlich gab es jetzt die Diskussion mit einigen Gewerkschaftsmitgliedern, die gesagt haben: Ja, wir sind jetzt klüger, wir haben Armut verstanden und können jetzt nicht einfach weitermachen, als wäre nichts geschehen. Die Dinge müssen sich ändern. Es weht seitdem ein frischer Wind und wir hoffen, dass es so bleibt. Jetzt, wo die NUNW zurück in der BIG-Coalition ist, freuen wir uns sehr. Es sind gute Aussichten und wir hoffen auf einen Durchbruch.

pf: Ist die von der Delegiertenversammlung beschlossene Rückkehr in die BIG-Coalition nicht auch eine Emanzipation der Gewerkschaften von der Regierungspolitik auf der einen Seite und eine Emanzipation der Gewerkschaftsbasis von der Gewerkschaftsführung auf der anderen Seite?

Shindondola: Vielleicht haben Sie es ja gelesen, dass das Motto des letzten Gewerkschaftskongresses war: „Zurück zur Basis“. Einer unserer früheren Mitstreiter, Herbert Jauch[3], hat immer geschrieben und gesagt: Die Gewerkschaften haben Ihren Auftrag vergessen. Sie sind bei ihrer Aufgabe, die Rechte der Armen und der Arbeiter zu vertreten, unbestimmt geworden. Sie sind Verbündete der Regierung geworden. Ab einem bestimmten Punkt war es schwierig, die Position der NUNW von der Position der Regierung oder auch nur von der regierenden Partei zu unterscheiden. Nun gibt es einen deutlichen Hinweis – ein frischer Wind weht. Die Leute beziehen sich auf das Motto des Kongresses. Sie lassen den Worten Taten folgen. Sie reden nicht nur, sie handeln! Das ist ein deutlicher Hinweis, dass sich die Dinge zu ändern beginnen. Für ein Fazit ist es noch zu früh, ich bin nicht zu 200 Prozent hoffnungsvoll. Aber immerhin, es war eine sehr schwierige Entscheidung und ich verstehe, dass es eine heftige Diskussion darüber gab.

Ich weiß auch aus verlässlichen Quellen, dass es aus der Führungsetage der Staatskanzlei Aufrufe gab, , das Thema von der Tagesordnung des NUNW-Kongresses zu streichen. Der Generalsekretär des NUNW hat das aber abgelehnt. Das ist ein deutlicher Hinweis, dass es ein Bekenntnis gibt, die Interessen der Arbeiter und der Armen zu vertreten.

pf: Dirk Haarmann, einer der Begründer der BIG-Coalition, hat neulich bei einem Gespräch gesagt, dass er den Austritt und die Rückkehr der NUNW als etwas Gutes empfindet, weil es die Diskussionen erweitert und verstärkt hat.

Shindondola: Ein positiver Effekt des Austritts war tatsächlich, dass es das BGE ins Zentrum der Debatte gerückt hat. Immer mehr Leute haben begonnen, über das BGE zu sprechen und zu schreiben. Die meisten Gespräche und Schriften sind positiv. Sie sind für das BGE, wenn man einmal von Herrn Osterkamp absieht. Ich weiß nicht, ob Sie den Zeitungsartikel letzte Woche gesehen haben. Er hat dort wieder über das BGE geschrieben. Er ist jemand, der einen wohlhabenden sozialen Hintergrund hat. Aber er sollte einmal über die Menschen nachdenken, die vom BGE profitieren würden. Stattdessen denkt er in einer sehr selbstbezogenen Art und Weise. Er sabotiert ein Projekt, das so viel Potential für so viele Menschen hat. Aus meiner Sicht präsentiert er auch keine Alternative. Es ist wirklich schade, dass er glaubt, jede Möglichkeit sabotieren zu müssen.

Trotz der guten Neuigkeiten und der Ankündigung der NUNW hat er beschlossen einen weiteren negativen Artikel über dieses Konzept zu schreiben. Aber das Verlassen und die Rückkehr der NUNW hat deutlich gezeigt, dass die Idee eines BGE weiter diskutiert und endlich in den Mittelpunkt gerückt werden muss. Es wurden aber auch vielen Leute die Augen geöffnet, die festgestellt haben: Es gibt wirklich Armut in diesem Land und wir müssen das erörtern. Wir haben auch festgestellt, dass viele Leute vom BGE wissen und es wollen. Wir können das auf der SMS-Seite von „The Namibian“[4] sehen, durch Rundschreiben und Zeitungen …

pf: Wie soll es nun mit dem BGE weitergehen? Gab es eine Rezeption Ihrer Ergebnisse in anderen Ländern?

Shindondola: Der letzte Satz unseres Statements war, dass wir weiter für die Idee, die Prinzipien und die Durchführbarkeit des BGE werben werden – mit und ohne den NUNW. Natürlich war unser Aufruf: Genossen, kommt zurück!... weil wir keine Türen schließen wollten. Mittlerweile gibt es auch international ein Interesse daran, wie weit man das Projekt umsetzen kann. Wenn die namibische Regierung jetzt anfängt das BGE umzusetzen, wird das zu ihrer Gunst gewertet werden. Wenn sie die nächsten 5 Jahre regieren wollen, dann ist es jetzt an der Zeit zu zeigen, dass sie sich wirklich für die Armen einsetzen. Ein Land wird nicht danach bewertet, wie es sich für die Reichen einsetzt, sondern danach, wie es die Interessen der Verletzlichsten und der Armen vertritt.

Es gab durchaus Interesse aus anderen Ländern und an Vergleichen. In vielen Ländern gibt es Sozialleistungen, die an Bedingungen geknüpft werden. Die Debatte, um die es sich also meistens dreht, ist die Frage: Warum vertretet ihr ein Bedingungsloses Grundeinkommen anstatt bedingter Transferleistungen? Tatsächlich ist es so, dass wenn ich die Gelegenheit habe über das BGE zu sprechen – unabhängig davon, ob es Einzelpersonen oder Gruppen sind, ergeben sich so viele Bezüge zu anderen Lebensbereichen. Es bleibt allerdings viel zu tun. Insbesondere in Bezug auf Bildung und Sensibilisierung. Es ist höchste Zeit, dass die Armen anfangen für sich selbst zu sprechen. Solange ich oder Dirk und Claudia Haarmann,[5] Herbert Jauch oder Zephania Kameeta[6] über die Armut und Arme sprechen, sagen die Leute: Ja die wollen einfach als gute Menschen gesehen werden. Oder vielleicht auch: Die wollen davon profitieren, wenn das BGE eingeführt wird, dann wollen sie Positionen. Nein! Das ist nicht das Motiv. Wir wollen die Armen ermächtigen, zu sagen: Wir wollen das BGE und wir fordern es.

pf: Vielen Dank für das Gespräch.


[1] Geingob war von 1990 bis 2002 der erste Premierminister des Landes und derzeitiger Vizepräsident der Regierungspartei SWAPO (West Africa People's Organisation).

[2] Gemeint ist Hifikepunye Pohamba von der SWAPO.

[3] Herbert Jauch ist Gewerkschafter und früherer Mitarbeiter von LaRRI.

[4] Größte namibische Tageszeitung, die eine sehr populäre Seite anbietet, auf der Lesende ihre Meinung zu Artikeln und Themen via SMS-Nachricht einsenden können.

[5] Claudia und Dirk Haarmann sind Geschäftsführer des Desk for Social Development (DfSD) der Evangelisch Lutherischen Kirche in Nambia (ELCRN).

[6] Zephania Kameeta ist Bischoff der ELCRN und Mitglied der South-West Africa People's Organisation (SWAPO).

Tagung: Geschlecht und Sexualität. Nur ein Nebenwiderspruch?

Beitrag von Redaktion prager frühling, geschrieben am 04.10.2010

Die BAG DIE LINKE.queer und sowie der prager frühling laden zu einer Tagung, welche am 31. Okt 2010 von 11 - 17 Uhr im Karl-Liebknecht-Haus in Berlin stattfindet, ein.

„Dies ist doch bloß ein Nebenwiderspruch!“ Mit diesen Worten wurden Frauen und Männer immer wieder in den sozialistischen und sozialdemokratischen Parteien konfrontiert, wenn sie sich vom so genannten Hauptwiderspruch - Kapital gegen Arbeit - entfernten. Sexuelle Emanzipation und die Gleichberechtigung von Frauen wurden so gerne klein gehalten. So beschimpften Kommunistische Gruppierungen in den Anfang 1970ern in Westdeutschland schwule Aktivisten als „kleinbürgerlich“, weil sich diese gegen den §175 wandten, obwohl sich die Mehrzahl der Aktivisten selbst als sozialistisch verstand.

Der Entwurf des Parteiprogramms erscheint uns abermals ein Projekt, welches den Fehler begeht ein Machtverhältnis, die kapitalistische Vergesellschaftung, als einzig dominierendes darstellen. Unsere Tagung versteht sich als Anmerkung und Kritik. Wir wollen als Mitglieder und SympathisantInnen der LINKEN an einem Projekt teilnehmen, das die Vielzahl der Machtverhältnisse berücksichtigt und den Kampf um sexuelle und geschlechtliche Teilhabe nicht in eine ferne Zukunft vertröstet.

Als Diskutant_innen werden unter anderem auftreten: Caren Lay, Barbara Höll und Klaus Lederer.

Workshops:

a) Analyse – In welcher Welt leben wir?

Der Entwurf des Parteiprogramms beschreibt zunächst die gesellschaftlichen Verhältnisse. Mit Begriffen wie „herrschende Klasse“ und „neoliberale Wende“ werden die letzten Jahrzehnten skizziert, doch entspricht die Beschreibung der Wirklichkeit?

b) Theorie - Das Kapitalverhältnis- ein Machtverhältnis unter vielen? Kapital und Arbeit und Geschlechterverhältnisse?

Gesellschaft ist ein vertracktes Ding. Abstrakt lässt sich Gesellschaft z.B. als „Klassengesellschaft“ beschrieben, doch wie stehen andere Formen der Macht, wie z.b. patriachale Herrschaft, Rassismus und Heteronormativität in Korrespondenz zum Kapitalverhältnis.

c) Partizipation - Kampf um gleiche Rechte ein transformatorisches Projekt?

Die Frauenquote, das Allgemeine Gleichbehandlungsgesetz aber auch das Transsexuellengesetz schaffen Möglichkeiten und Rechte im Hier und Jetzt. Doch inwiefern eröffnet der Kampf um Teilhabe unter den bestehenden Machtverhältnissen, eine Perspektive die über dieser Gesellschaft hinaus weißt?

Podiumsdiskussion:

Vison – Queer Socialsm?

„Wer Visionen hat, möge zum Arzt gehen“ raunte einst Altbundeskanzler Helmut Schmidt und kanzelte damit den linken Flügel seiner Partei ab.

Doch wir haben Visionen und wollen uns die Frage stellen: Wie können wir eine Perspektive aus den heutigen Verhältnissen entwickeln, die einen Blick auf einen demokratischen Sozialismus eröffnet, die sowohl geschlechtergerecht wie auch sexuell emanzipatorisch ist?


Wir bitten um Anmeldung zur Veranstaltung über queersocialism@prager-fruehling-magazin.de - am besten unter Angabe, welcher Workshop besucht werden möchte.

Der Eintritt zur Tagung ist kostenlos. Zur Mittagspause wird ein kleines Buffet angeboten. Leider können wir aufgrund des knappen Budgets keine Fahrtkosten übernehmen. Bitte erkundigt Euch bei Euren Landesverbänden der LINKEn, ob sie die Fahrkosten übernehmen können. Falls dies fehlschlägt, werden wir uns bei GeringverdienerInnen und Erwerblosen um eine Lösung bemühen. Übernachtungsmöglichkeiten können wir in einem kleinem Umfang privat organiseren. Falls Ihr einen Schlafplatz benötigt, so gebt dies in Eurer Anmeldemail kund.

19 Euro Unvernunft

Beitrag von Jörg Schindler, geschrieben am 27.09.2010

Man habe jetzt spitz gerechnet und sei auf genau 346 Euro als monatliches Existenzminimum gekommen, verlautet aus der Bundesregierung. Ja, natürlich habe man nunmehr allerdings die 19 Euro, die in der alten Berechnung für Tabak und Alkohol enthalten waren, herausgenommen. Denn der Konsum derartiger Dinge gehöre nicht zum Existenzminimum.

Wieso eigentlich nicht?

Was sich zunächst plausibel anhört, ist ein übler Trick. Das Existenzminimum ist nämlich keine rein mathematische, sondern eine Größe, die politisch und kulturell geprägt ist. Selbstverständlich wäre es billiger, alle Hartz-IV-EmpfängerInnen direkt nach Somalia zu fliegen und dann deren dortigen Lebensstandard zu überweisen. Selbstverständlich wäre es günstiger, alle Hartz-IV-EmpfängerInnen zur Nutzung eines Sammeltarifs für Strom und Handy sowie zum Einkauf in besondere Supermärkte mit Sonderkonditionen, ausgehandelt durch den Staat, zu verpflichten. Man könnte auch prüfen, ob nicht der letzte Einkauf von Elfriede Hartz bei Edeka vielleicht bei ALDI um 2 Euro günstiger gewesen wäre. Immerhin gabs da ja letztens das Sonderangebot.... Oder Lebensmittelgutscheine ausstellen.

eine Extra-Portion Unvernunft

In dieser Logik bewegt sich die Herausrechnung von Alkohol und Tabak. Ja, natürlich benötigt niemand Alkohol und Tabak zum Leben. Aber wir alle benötigen einen Anteil Unvernunft im Leben - sozio-kulturell und finanziell: Ob Oettinger, Marlboro, eine Tom-Waits-CD, die überteuerte Marken-Klamotte oder 5 Euro für 20 Minuten Assi-Toaster um die Ecke. Es ist notwendiger Teil von ca. 5 Minuten Extra-Freude täglich im Leben. Deshalb gehören 19 Euro Schnaps und Qualm dazu, zu einem menschenwürdigen Leben.

Das, besonders eine Extra-Freude, ist aber alles nicht notwendig, findet schwarz-gelb - jedenfalls nicht für die Hartzis. Es wäre jetzt an ihnen, dafür zu sorgen, dass schwarz-gelb auch bald die Freude vergeht.

DIE WELT hält ihre LeserInnen für dumm.

Beitrag von Jörg Schindler, geschrieben am 24.09.2010

Langsam mausern wir uns zu einem wichtigen Organ. Selbst die konservative Presse liest uns aufmerksam, wie wir der neuesten Ausgabe der WELT entnehmen können. Unter der Überschrift „Ypsilantis ‚Denkfabrik’ hängt am Tropf der Linken“, die investigativen Journalismus vermuten lässt, erkennt die Schreiberin messerscharf, dass unser Crossover-Ansatz ein anderer ist, als der kleiner Abgeordneten-Runden, die sich gerne auf ein Glas Kaffee-Eingewöhnungsgetränk treffen.

Nehmen wir diesen Artikel doch noch mal zum Anlass, den Unterschied zwischen dem Institut Solidarische Moderne (ISM) und anderen bunten Treffen zu erläutern, weil es uns scheint, als hätte die Autorin, die Journalistin wir sie nicht nennen mögen, unseren Ansatz etwas durch den Kakao gezogen. Crossover, wie wir ihn verstehen, und wie er einen Beitrag zur Gewinnung einer postneolibalen solidarisch-modernen Politik und Kultur leisten kann, muss nicht nur VertreterInnen verschiedener Parteien involvieren – er muss vor allem eine Brücke zwischen Politik, Wissenschaft und Kultur schlagen. Es ist ein gänzlich anderer, langfristiger Prozess, die verschiedenen Perspektiven der verschiedenen politischen Lager und RepräsentantInnen der Milieus, Schichten und Klassen, die sie vertreten einerseits – und zwischen den unterschiedlichen Fragestellungen und Ausdrucksweisen der Bereiche Politik, Kultur, Wissenschaft und Zivilgesellschaft andererseits, zu einem neuen solidarisch-modernen Gesellschaftsbild zu verbinden und dabei einen Charme zu entwickeln, der dieses zur gesellschaftlichen Hegemonie werden lässt. Da geht es nicht um technokratisches Abstecken möglicher Kompromisslinien zwischen VertreterInnen verschiedener Parteien. Es geht um die Entwicklung und Durchsetzung eines solidarisch-modernen Politikwechsel. Das gefällt der konservativen Presse selbstverständlich nicht. Aber das ist – Meinungsfreiheit ist ein hohes Gut – auch ihr gutes Recht.

Zurück zum Artikel in der WELT und unserer reißerischen Überschrift: 1.000 Euro spendete der Verein der Bundestagsfraktion der LINKEN für die am heutigen Wochenende stattfindende Summer Factory des ISM, weiß das Blatt zu berichten. Ganz davon abgesehen, dass auch noch die Grüne Delegation im Europäischen Parlament, der AStA der Uni Frankfurt/Main und Abgeordnete der SPD diesen Kongress mit mehr als 300 Teilnehmern unterstützten, muss doch gefragt werden, was für eine Vorstellung von den Kosten einer solchen Veranstaltung die Autorin und die Redaktion der WELT haben, wenn sie einen Artikel passieren lassen, in dem bei einer 1.000-Euro-Spende davon gesprochen wird, dass das „Ypsilanti-Institut“ von der LINKEN gekauft wäre. Für so dumm hält noch nicht einmal die BILD, dass große Schwesterplatt, ihre LeserInnen. Dass die WELT diesen Unsinn verbreitet, lässt sich daher auch nur psychologisch erklären: Es passt einfach nicht das konservativ-neolibarale Weltbild, dass es Menschen gibt, die standhaft bleiben – die sich nicht kaufen lassen – die weder im Auftrag der Atomwirtschaft die Energiewende verraten noch im Auftrag eines Verlages zur Schmierenjournalistin werden.

Gebt die Drogen frei!

Beitrag von Thomas Lohmeier, geschrieben am 15.09.2010

Wer kennt sie nicht, die Forderung des Kreuzberger Grünen Hans-Christian Ströbele, “Gebt das Hanf frei”, die als Basis für ein Lied von Stefan Raab diente. Aber der Ex-RAF-Verteidiger und Inhaber des ersten und einzigen grünen Direktmandates ist schon lange nicht mehr richtig radikal. Jetzt wird seine drogenpolitische Position sogar vom ehemaligen spanischen Ministerpräsidenten Felipe Gonzáles radikalisiert, wie die Süddeutsche Zeitung vom 15.9.10 zu berichten weiß. Der ehemalige Leiter des “Rates der Weisen” der Europäischen Union spricht sich für die Freigabe des Konsums illegaler Rauschmittel aus, um der Drogenkriminalität in Lateinamerika Herr zu werden. “Mexiko”, so zitiert ihn die SZ, “stellt die Toten”, während die Milliardengewinne auf der anderen Seite der Grenze in Nordamerika verbucht würden.

Die Frankfurter Allgemeine Sonntagszeitung beschrieb bereits im November 2009 die Angelegenheit noch pointierter: “Heroinkonsum ist tödlich nur für einen, doch der Handel mit Heroin tötet Tausende. Nicht der Drogenabhängige ist kriminell, aber die Kriege im Namen der Drogen. Deshalb gibt es nur einen Weg heraus aus dem Zirkel von Tod und Gewalt: die Legalisierung.” Während sich also die LINKE noch in NRW für ihre zaghaften Positionen zur Legalisierung weicher Drogen medial verprügeln lässt, werden in anderen Kreisen offenbar schon ganze andere Diskussionen geführt. Es stimmt ja auch, würde man Drogen kontrolliert legalisieren, ließen sich viele gesellschaftliche Probleme lösen: Über ihre Besteuerung würde etwas für die Staatskasse getan, die Abhängigen könnte sich besser medizinisch und psychologisch helfen lassen, Beschaffungs- und vor allem Wirtschaftskriminalität zur Geldwäsche ginge schlagartig zurück bzw. würde verschwinden und selbst die Apotheker hätten ihre Freude, weil die Abgabe von Drogen sicherlich ihnen überantwortet würde.

Aber Drogen sind tatsächlich gefährlich, das soll hier nicht verschwiegen werden. George Michael wurde gerade - auch dies kann in der SZ vom 15.9.10 nachgelesen werden - zu einer achtwöchigen Gefängnisstrafe verurteilt. Er fuhr mit Cannabis im Blut Auto und krachte dabei in ein Londoner Fotoladen. Also, Leute, aufgepasst beim Drogenkonsum!

Der Sarrazzin-Arzt

Beitrag von Jörg Schindler, geschrieben am 08.09.2010

Die Politik nennt wortreich Thilo Sarrazzin rassistisch, weil der findet, dass diese Drecksmuslimen uns Deutschen im Ergebnis wegen ihrer vielen Kinderkriegerei, noch dazu ohne deutschen Durchschnitts-IQ, doch eher mehr kosten als nutzen. Aber - so der allgemeine Tenor - das Problem ist von "Thilo Taktlos" halt schon richtig benannt: Diese Kameltreiber mit der Knoblauchfahne wollen sich ja auch nicht richtig integrieren. Das muss man schon auch sagen dürfen - nur halt nicht "so". Derweil redet ein praktischer Arzt in Wächtersbach (Osthessen) Tacheles.

Im September 2010 verteilte er in seiner Arztpraxis "Regeln" wie folgt:

"...1. In dieser Arztpraxis gilt ein striktes Verbot von Kopftüchern bei islamistischen Frauen und Mädchen!

2. Es werden Grundkenntnisse der deutschen Sprache in Wort und Schrift und Aussprache zwingend vorausgesetzt!

3. Kinderreiche islamistische Familien mit mehr als 5 leiblichen Kindern werden in dieser Arztpraxis nicht behandelt!...“

Nun, auch das wiederum ist, ebenso wie der Bescheid der Ausländerbehörde Northeim, selbstverständlich nicht rassistisch. Sondern aus Gründen der Berufethik und der Integration dieser Leute, die offenbar beim Behandeln noch nicht einmal richtig islamisch, sondern gleich islamistisch sein müssen, eine ganz normale Maßnahme der Integration. Sozusagen ärztliche Integrationsbehandlung. Wenn nur nicht der Muslim immer mit seinem fehlenden Integrationswillen...naja. Aber wenigstens das Problem mit dem muslimischen kinderreichen Familien, per Definiton beginnend ab "mehr als 5 leiblichen Kindern", hat Sarrazzins Lieblings-Leibarzt dann auch gleich en passant mit gelöst.

Das Sarrazzin-Amt

Beitrag von Jörg Schindler, geschrieben am 04.09.2010

Die Politik nennt wortreich Thilo Sarrazzin rassistisch, weil der findet, dass diese Drecksmuslimen uns Deutschen im Ergebnis wegen ihrer vielen Kinderkriegerei, noch dazu ohne deutschen Durchschnitts-IQ, doch eher mehr kosten als nutzen. Aber - so der allgemeine Tenor - das Problem ist von "Thilo Taktlos" halt schon richtig benannt: Diese Kameltreiber mit der Knoblauchfahne wollen sich ja auch nicht richtig integrieren. Das muss man schon auch sagen dürfen - nur halt nicht "so". Derweil redet die Ausländerbehörde im Kreis Northeim (Niedersachsen) gar nicht lang drum herum.

Im Juni 2010 beschied die Behörde den Antrag eines asylsuchenden Irakers, seinen Landkreis besuchsweise verlassen zu wollen, wie folgt:

"...„Sie gaben an, dass Sie Ihre Frau vermissen und Sex mit ihr haben möchten. Auf Nachfrage erklärten Sie, dass Sie nicht standesamtlich, sondern lediglich nach irakischem Ritual verheiratet sind. Entsprechend Nr. 12.5 ff. der Allgemeinen Verwaltungsvorschrift zum Aufenthaltsgesetz ist die Verlassenserlaubnis u.a. bei bestehendem dringenden öffentlichen Interesse zu erteilen. Dieses kann u.a. vorliegen, wenn der Ausländer unter Zeugenschutz steht, oder zur Beschaffung von Heimreisedokumenten. Weiterhin wird die Verlassenserlaubnis bei Vorliegen von zwingenden Gründen erteilt. Dies kann z.B. der Besuch eines Facharztes oder eines schwer kranken Familienmitglieds sein. Bei Ihrem Vortrag, Ihre Frau zu treffen, um mit ihr Sex zu haben, handelt es sich nicht um einen Grund, der den genannten Voraussetzungen entspricht...“

Nun, das wiederum ist selbstverständlich nicht rassistisch. Sondern aus Gründen der ausländerrechtlichen Sicherheit und Ordnung von Verwaltungsvorschriften gedeckt und somit völlig normal, ja geboten. Sozusagen amtliche Integrationspolitik. Wenn nur nicht der Muslim immer mit seinem fehlenden Integrationswillen...naja. Aber wenigstens das Problem mit dem muslimischen Kinderkriegen hat Sarrazzins Lieblings-Ausländerbehörde dann auch gleich en passant mit gelöst.

Blättern:
Sprungmarken: Zum Seitenanfang, Zur Navigation, Zum Inhalt.